抜歯即時埋入インプラント(ワンデイインプラント)での治療(49歳女性)
治療概要
患者様情報
| 年齢 | 49歳 |
|---|---|
| 性別 | 女性 |
治療情報
| 治療内容 | 抜歯即時インプラント治療 |
|---|---|
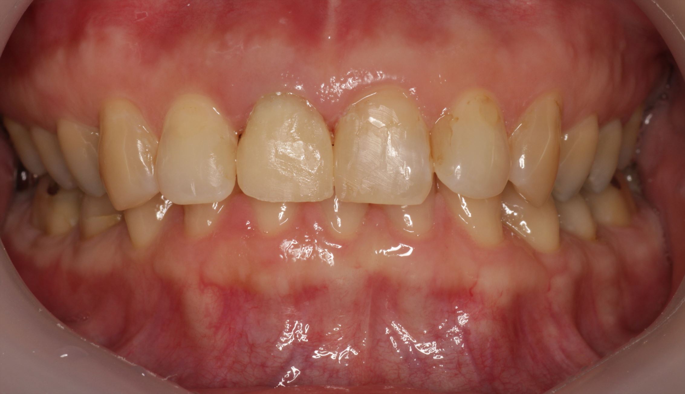
| 治療内容詳細 | 右上の1番の歯が、歯根破折したため抜歯即時インプラントで治療を行いました。 |
| 治療期間 | 1日(補綴完了までは約5ヶ月) |
- 治療前

- 治療後

治療経過や症例の詳細紹介

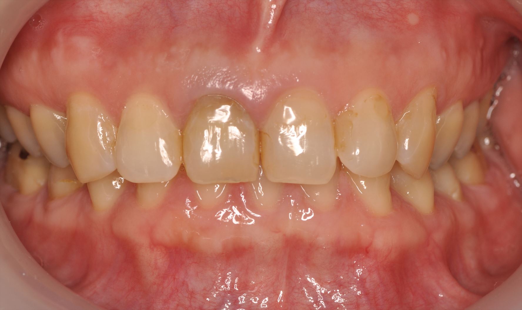
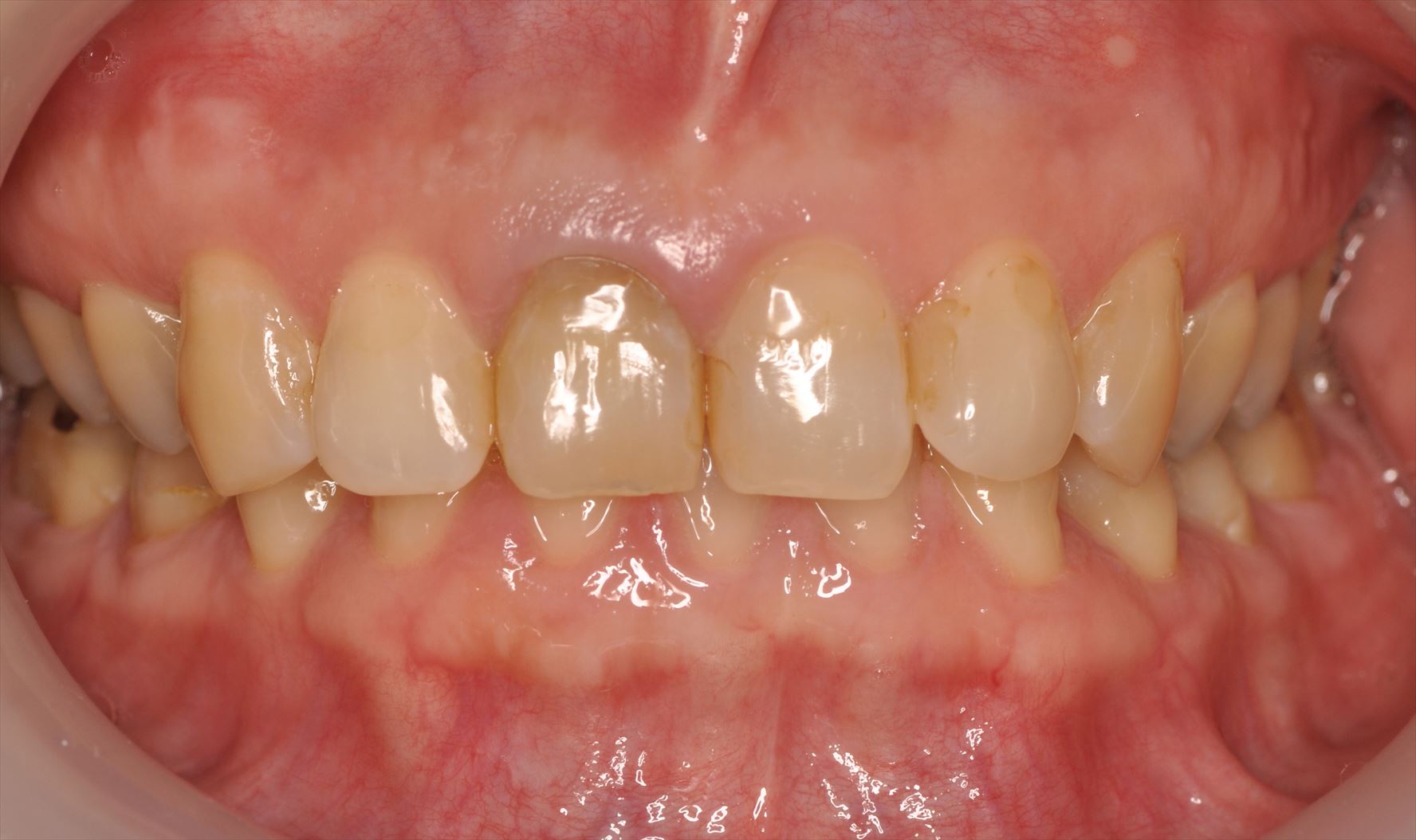
治療前です。

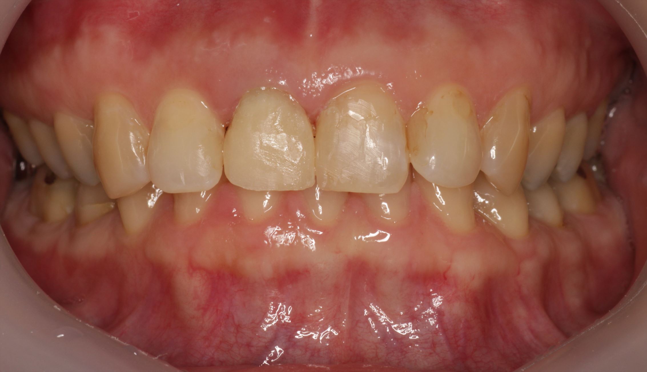
ワンデイインプラント治療にて抜歯してすぐにインプラントを埋め込みました。埋め込んだインプラントに仮歯を入れた状態です。

ワンデイインプラント手術の5ヶ月後にで補綴が完了した治療後の状態です。
















