歯周病に対してインプラントでの治療(60歳男性)
治療概要
患者様情報
| 年齢 | 60歳 |
|---|---|
| 性別 | 男性 |
| 主訴/ニーズ | 歯周病で前歯4本がぐらぐらになってしまったとご相談いただきました。 |
治療情報
| 治療内容 | ワンデイインプラント |
|---|---|
| 治療内容詳細 | ワンデイインプラントでの治療を行いました。 |
| 治療期間 | 1日(補綴完了までは約7ヶ月) |
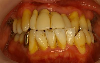
- 治療前

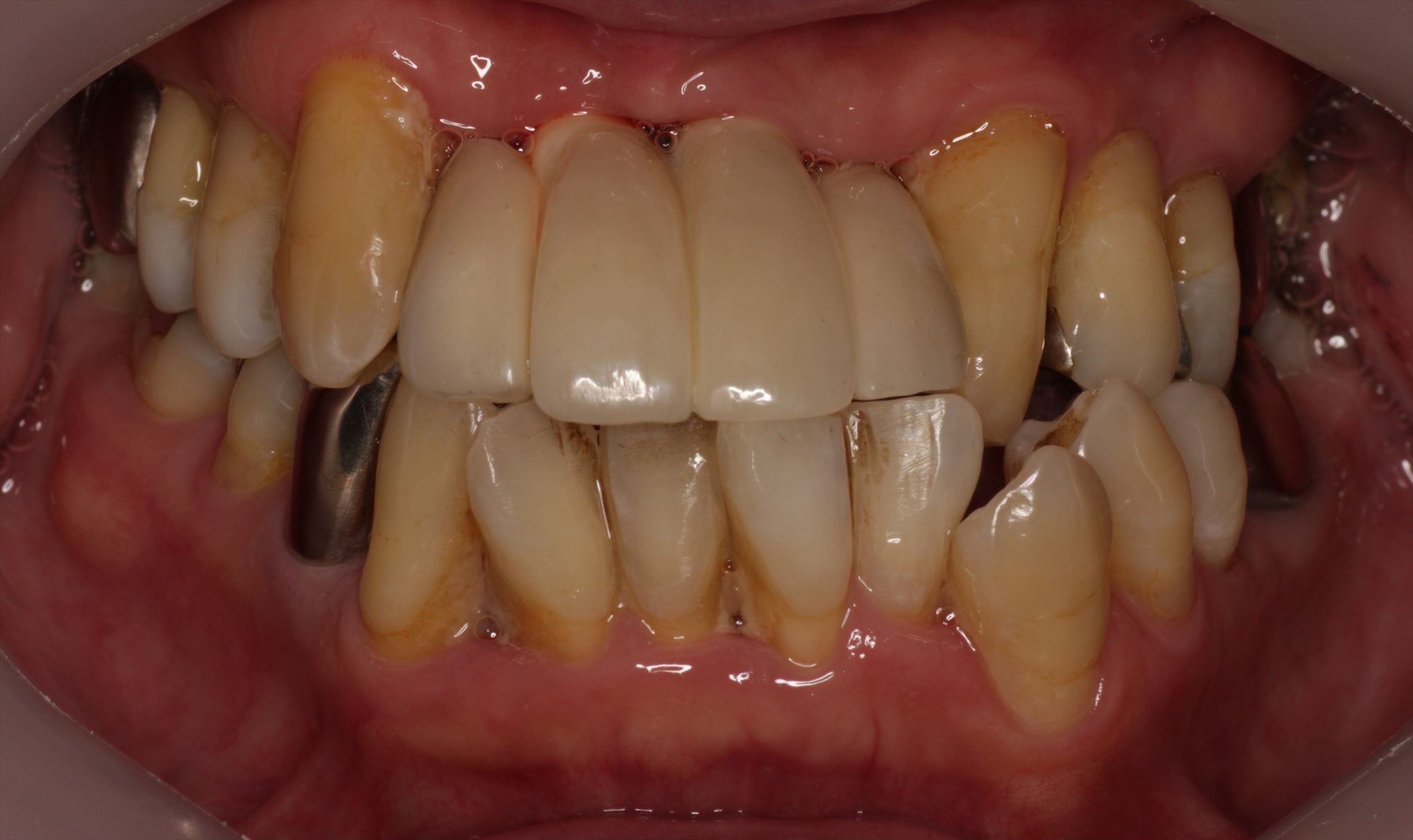
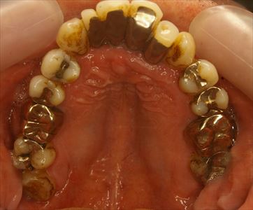
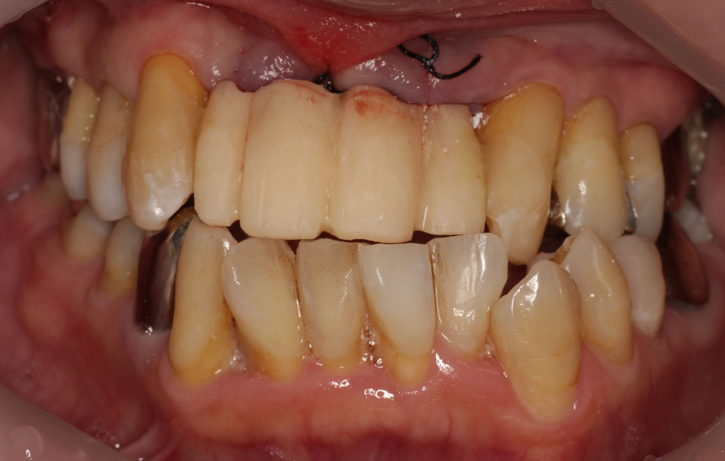
- 治療後

治療経過や症例の詳細紹介

治療前の咬合面です。

インプラント治療で仮歯を入れた状態の正面です。

インプラント治療で仮歯を入れた状態の咬合面です。

インプラント治療の7ヶ月後に補綴完了した治療後の正面です。

インプラント治療の7ヶ月後に補綴完了した治療後の咬合面です。
















