ワンデイインプラント治療(62歳女性)
治療概要
患者様情報
| 年齢 | 62歳 |
|---|---|
| 性別 | 女性 |
| お住まい | 名古屋市北区 |
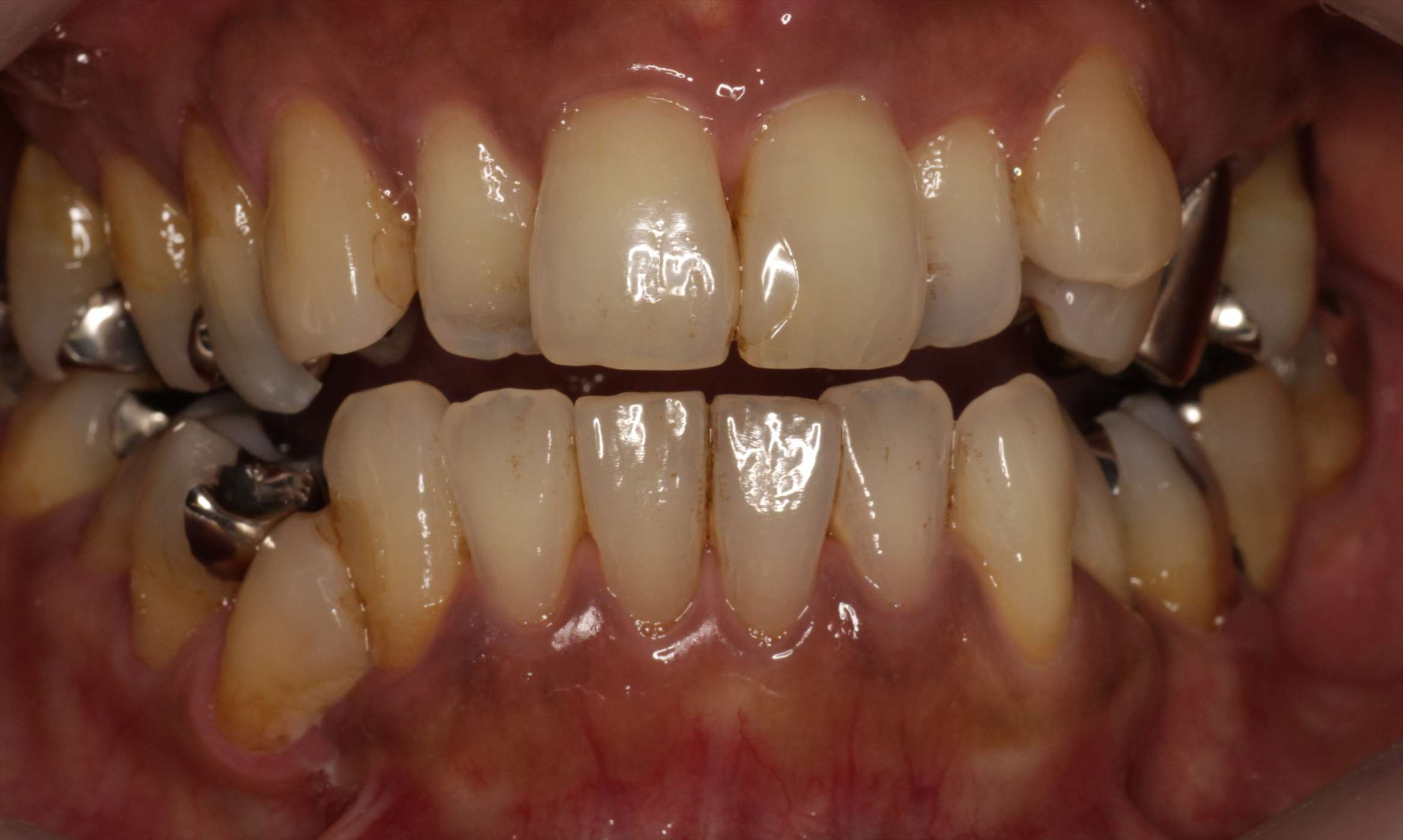
| 主訴/ニーズ | 左上の前歯がぐらぐらして痛い。 |
治療情報
| 治療内容 | ワンデイインプラント治療 |
|---|---|
| 治療内容詳細 | 左上1番の歯を抜歯即時でインプラントを埋入しました。 |
| 治療内容のメリット | インプラントでの補綴により隣在歯に負荷をかけない。 |
| 治療内容のデメリット | 治療費用が高い。 |
| 副作用/リスク | インプラントが定着しなかった場合、両サイドの歯を削る可能性がある。 |
| 治療費用 | 50万円 |
| 治療期間 | 5ヶ月 |
| コメント | 歯肉の退避も起こすことなく審美的な補綴まで治療を行うことが出来ました。 |
- 治療前

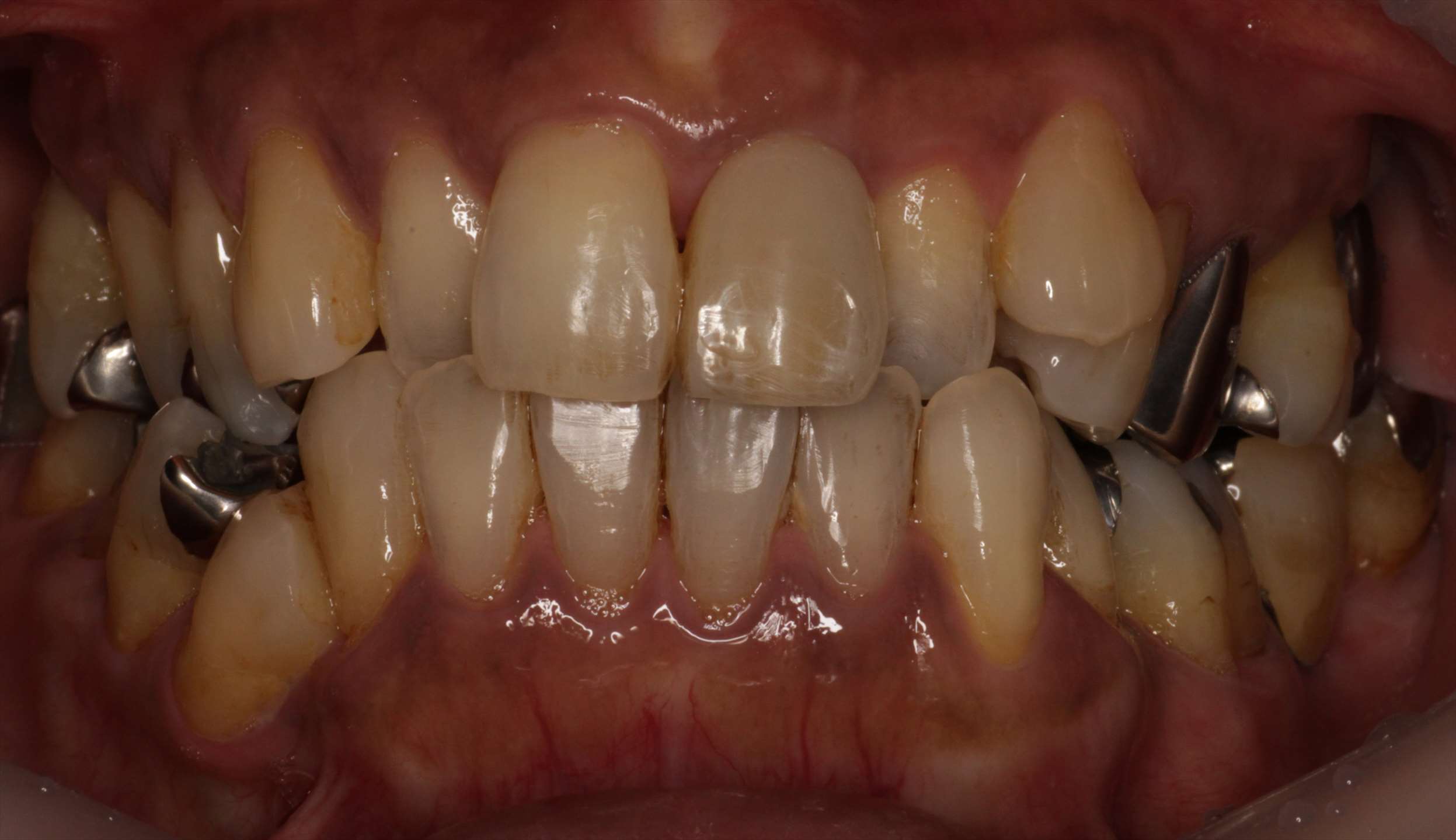
- 治療後

治療経過や症例の詳細紹介

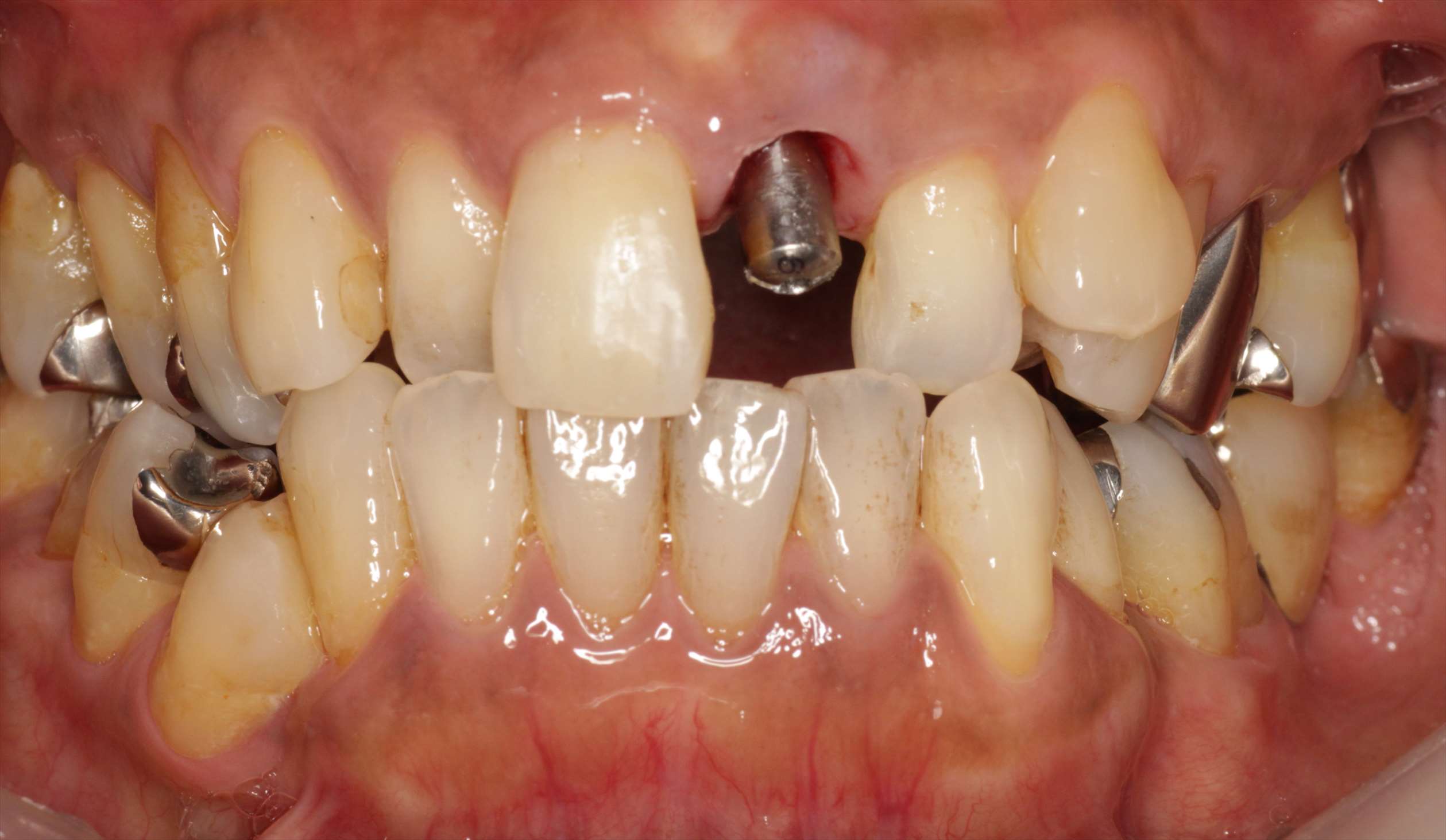
抜歯した左上1番の歯です。

抜歯即時でインプラントを埋入。
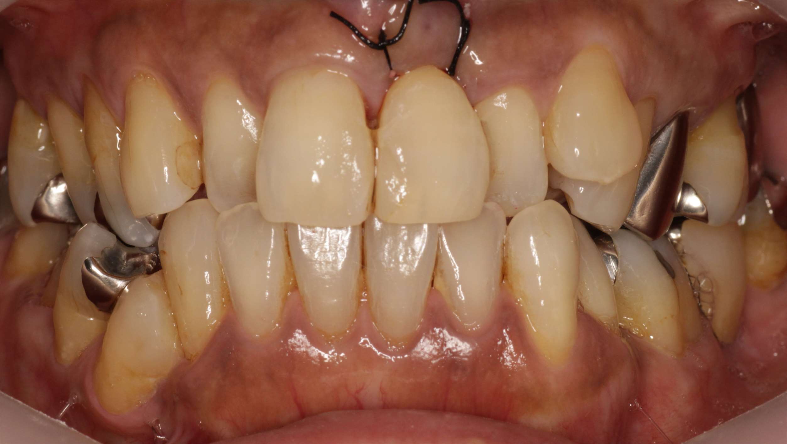
その後、THAを装着した状態です。

インプラント埋入当日に仮歯を入れた状態です。

術後の側方面観です。
















