過去のインプラントが抜けてしまった患者様へのインプラント治療(59歳女性)
治療概要
患者様情報
| 年齢 | 59歳 |
|---|---|
| 性別 | 女性 |
| お住まい | 名古屋市北区 |
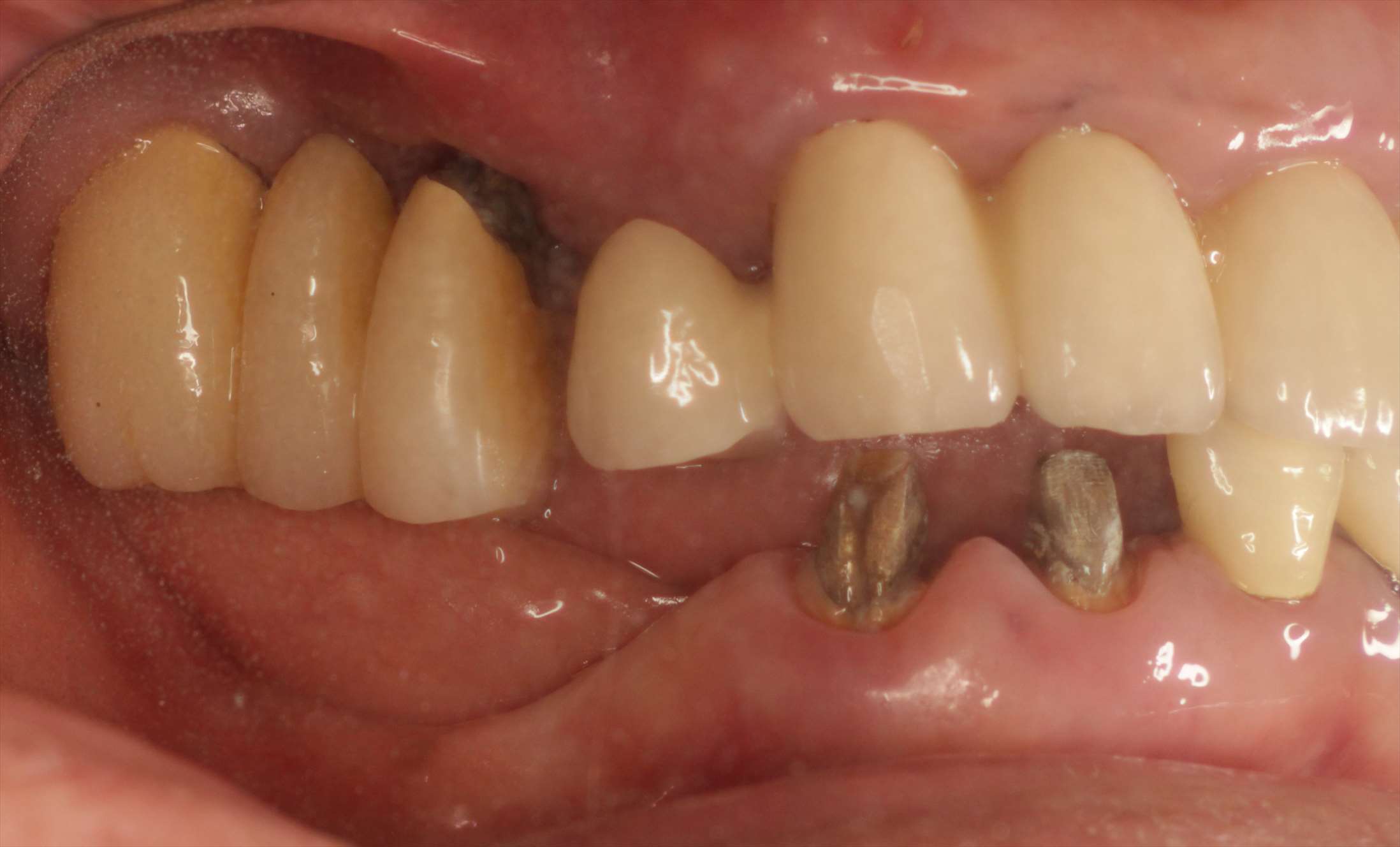
| 主訴/ニーズ | 数十年前に他院で治療した右下のブレードインプラントが抜けてしまった。また、右上の小臼歯がぐらぐらする。(右上3番が破折していた。) |
治療情報
| 治療内容 | インプラント治療 |
|---|---|
| 治療内容詳細 | 右下は、4,6番部分にインプラントを埋入して456番の上部構造を入れる治療を行いました。 右上は、3,5番の歯を抜歯して右上346番部分にインプラントを埋入して治療を行いました。 |
| 治療内容のメリット | インプラントで補綴する事により残存歯に負担をかけず全体の咬合を安定する事ができる。 |
| 治療内容のデメリット | 治療費用が高い。 |
| 副作用/リスク | インプラントが定着しなかった場合、義歯(入れ歯)治療になってしまう。 |
| 治療費用 | 200万円 |
| 治療期間 | 7ヶ月 |
| コメント | ブレードインプラントが抜けた部位の骨の回復が良好だった為、骨造成を行わずインプラントを埋入する事ができました。 おかげで比較的短い息間で上部構造まで完成する事が出来ました。 |
- 治療前

- 治療後

治療経過や症例の詳細紹介

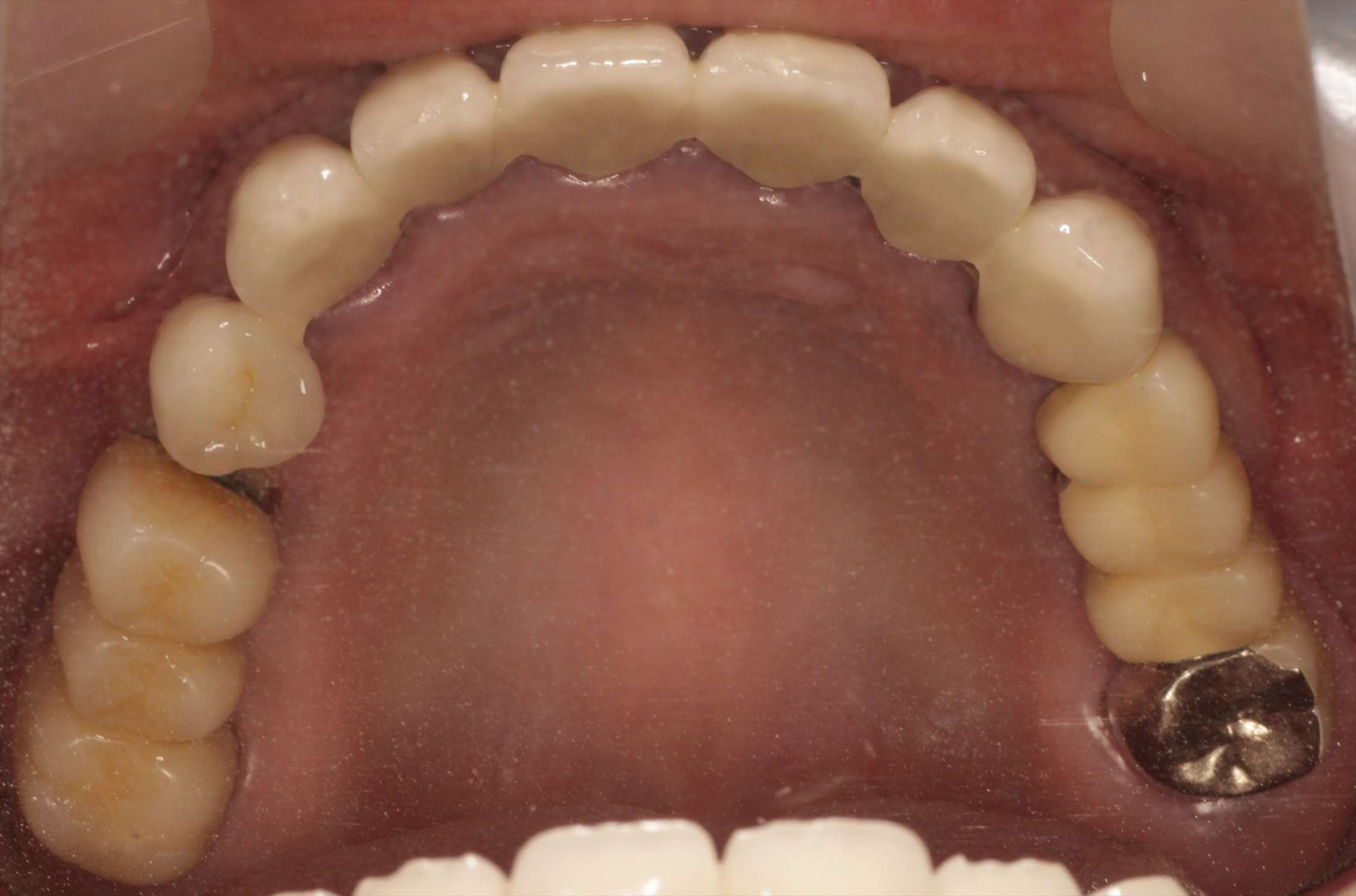
術前の上顎の咬合面観です。

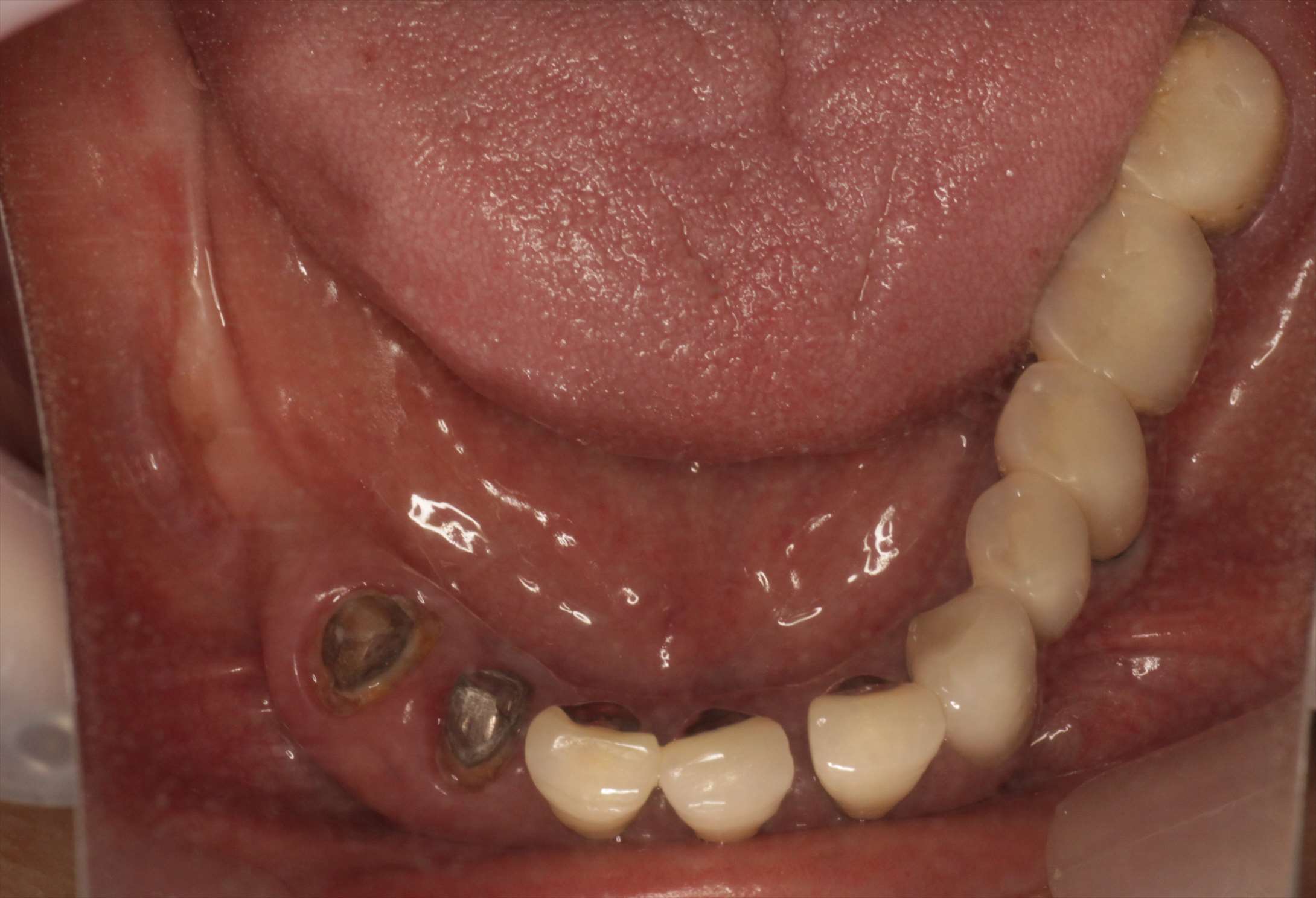
術前の下顎の咬合面観です。

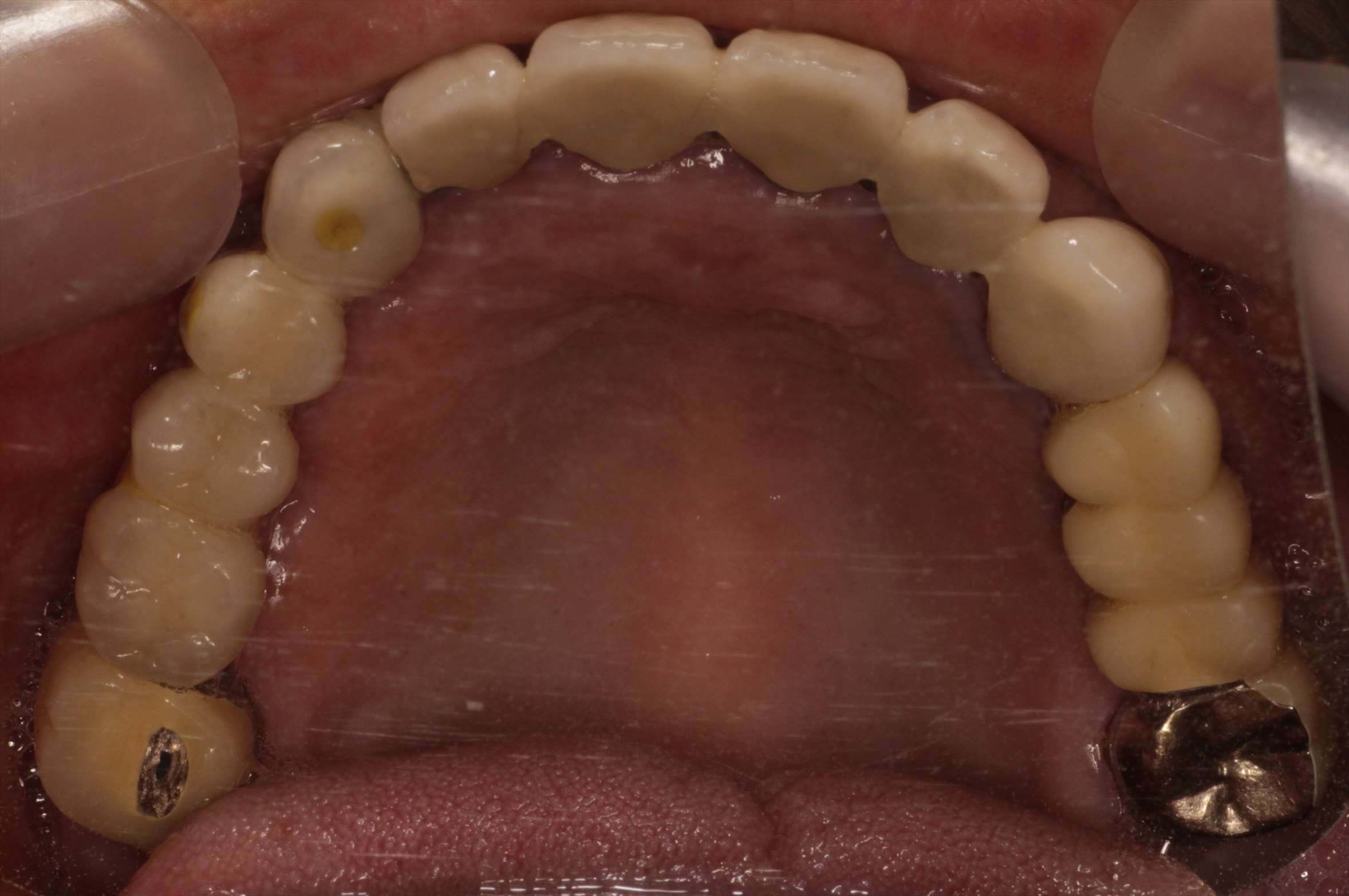
術後の上顎の咬合面観です。

術後の下顎の咬合面観です。
















